IF 12.4!南京師范大學郭志剛/胡志剛教授團隊發現APE1在HCC鐵死亡調控中的作用機制
肝細胞癌(HCC)是癌癥相關死亡的主要原因之一,目前的治療措施仍不能有效改善HCC患者的總生存率。鐵死亡是由鐵依賴性脂質過氧化引發的一種細胞死亡形式,已成為一種有前途的癌癥治療策略,尤其是在HCC中。然而,HCC中鐵死亡調節的機制尚不清楚。2024年2月28日,南京師范大學郭志剛/胡志剛教授團隊在Cell Death and Differentiation (IF 12.4)發表題為“APE1 inhibition enhances ferroptotic cell death and contributes to hepatocellular carcinoma therapy”的研究論文。研究揭示了多功能酶APE1在鐵死亡調節中的新作用和機制,并強調了靶向APE1作為HCC和其他癌癥治療策略的潛力。
本研究所用NRF2、siAKT及siGSK3β質粒、APE1干擾慢病毒由維真助力提供!
HCC細胞系中Lv-shAPE1的表達效果
研究結果
1、抑制APE1促進HCC細胞鐵死亡
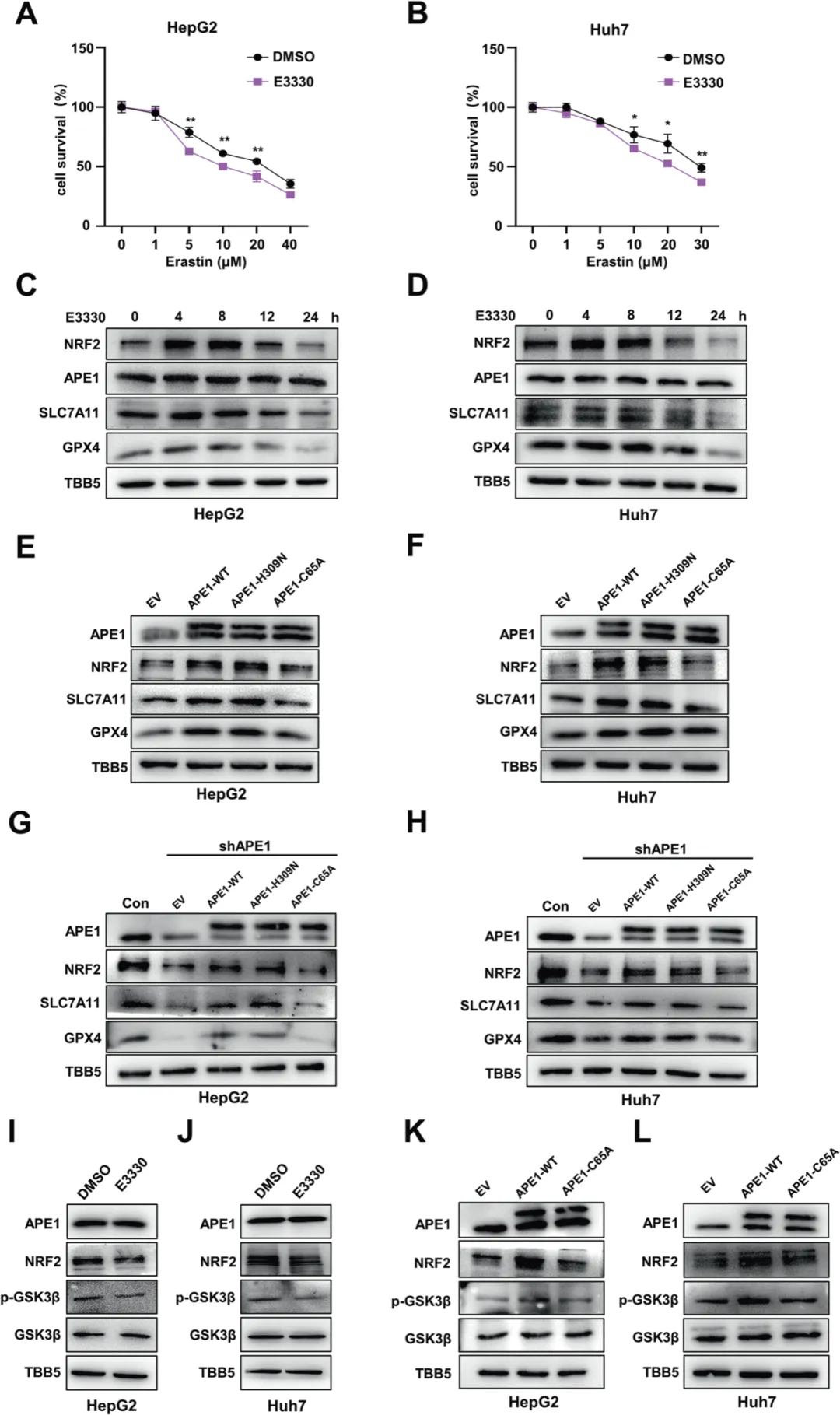
最近的多項研究表明鐵死亡與HCC的發展和治療反應有關,同時脫嘌呤/脫嘧啶核酸內切酶1,APE1在HCC中高水平表達,促進HCC的進展并與其不良預后相關,鑒于此,作者探索了APE1是否參與HCC的鐵死亡。首先,通過建立APE1敲低(APE1-KD)的HCC細胞系,發現APE1的沉默促進了HCC細胞的鐵死亡,進而檢測參與鐵死亡途徑關鍵基因的表達,證實APE1通過NRF2/SLC7111/GPX4軸調節鐵死亡。
接下來,作者研究了APE1調節NRF2的具體機制,發現APE1的敲低并不影響HCC細胞中NRF2的mRNA水平,而是影響其蛋白水平。抑制APE1顯著下調了糖原合成酶激酶-3β(GSK3β)的磷酸化水平,此外,NRF2的泛素化水平在APE1-KD細胞中上調,但在使用GSK3β抑制劑處理后得到逆轉,表明APE1沉默通過GSK3β促進NRF2泛素化。進一步的分析表明APE1通過AKT影響GSK3β活性,從而調節NRF2的穩定性,參與鐵死亡。
APE1通過NRF2/SLC7A11/GPX4軸調控鐵死亡
2、APE1調節鐵死亡依賴于其氧化還原功能
通過在對照或APE1-KD HCC細胞中過表達或敲低NRF2,證實沉默APE1增強的鐵死亡依賴于NRF2。由于APE1同時具有DNA修復功能和氧化還原調節功能,因此需明確具體哪種功能參與鐵死亡的調節,數據顯示敲低APE1或使用CRT(APE1 DNA損傷修復功能抑制劑)增加了HCC細胞中的γ-H2AX(DNA損傷標記物)水平,然而Ferr-1處理不影響APE1敲低細胞或CRT處理的細胞和對照細胞中的γ-H2AX水平,以及DNA損傷反應信號水平;將CRT與erastin、RSL3聯合處理HCC細胞,發現CRT對erastin或RSL3誘導的HCC細胞鐵死亡沒有影響,表明抑制APE1增強的鐵死亡與其DNA修復功能無關。隨后用E3330(APE1 氧化還原功能抑制劑)處理HCC細胞,增強了erastin和RSL3誘導的細胞死亡,同時下調了HCC細胞中SLC7A11和GPX4的mRNA和蛋白水平,以及NRF2的蛋白水平。通過構建APE1的DNA損傷修復功能突變體和氧化還原功能突變體,進一步表明APE1通過其氧化還原功能調節GSK3β的磷酸化,從而影響NRF2的穩定性,并調節參與鐵死亡的SLC7A11和GPX4的表達。
APE1依靠其氧化還原功能參與鐵死亡
3、抑制APE1增強了HCC對鐵死亡的敏感性
作者在裸鼠中建立了APE1-KD Huh7衍生的異種移植物模型,以進一步研究APE1抑制對體內HCC鐵死亡的影響。與對照組相比,APE1-KD和erastin聯合處理提高了治療效果;通過流式細胞術檢測發現APE1的沉默上調了腫瘤組織中由erastin誘導的脂質過氧化水平。IHC染色和WB實驗表明,erastin處理增加了SLC7A11和CHAC1的蛋白質水平,表明erastin對小鼠的治療是有效的。此外,與野生型Huh7來源的腫瘤組織相比,APE1-KD Huh7細胞來源的腫瘤細胞組織中的NRF2、SLC7A11和GPX4蛋白水平降低,并且APE1的敲低顯著上調了erastin誘導的4-HNE在腫瘤組織中的積累。上述結果表明APE1缺失增強了erastin在體內對HCC的治療作用。
沉默APE1增強HCC對體內鐵死亡的敏感性
結論
研究表明抑制APE1可促進HCC細胞中的鐵死亡,揭示了APE1在調節肝癌細胞鐵死亡中的重要作用和具體機制,為肝細胞癌的治療提供了新靶點和新思路。