研(yan)究背景(jing)
自(zi)噬(shi)(shi)是(shi)細胞中(zhong)高(gao)度(du)保守的(de)生(sheng)物學現象,能在(zai)脂代謝過程(cheng)中(zhong)扮演著重要角(jiao)色。Ⅲ型(xing)磷(lin)脂酰(xian)肌醇-3激(ji)酶(PI3KC3)在(zai)自(zi)噬(shi)(shi)過程(cheng)中(zhong)發揮著重要功能。作(zuo)為(wei)PI3KC3的(de)亞基之一,Pacer在(zai)提高(gao)PI3KC3激(ji)酶活性(xing)和(he)自(zi)噬(shi)(shi)水平(ping)方面均能起到(dao)重要的(de)作(zuo)用,Pacer是(shi)浙大孫啟明課題組新近鑒定的(de)一個脊椎動物特(te)有(you)的(de)自(zi)噬(shi)(shi)調控分子,相(xiang)關工(gong)作(zuo)已于2017年發表在(zai)了(le)Mol Cell雜志上(shang)。最(zui)近的(de)研究(jiu)(jiu)顯(xian)示,Pacer存(cun)在(zai)磷(lin)酸(suan)化(hua)和(he)乙酰(xian)化(hua)的(de)修飾,本研究(jiu)(jiu)旨在(zai)研究(jiu)(jiu)Pacer對肝(gan)臟脂質水平(ping)以及(ji)自(zi)噬(shi)(shi)發展的(de)影響。
研究(jiu)思路(lu)
首(shou)先(xian),研(yan)究者利用腺(xian)相關病毒(du)實(shi)現Pacer及(ji)(ji)其突變體在(zai)肝(gan)臟組織中的(de)(de)(de)表達,分析Pacer磷酸化(hua)對小(xiao)鼠(shu)(shu)肝(gan)臟自噬水平(ping)的(de)(de)(de)影響;其次,通過建立非(fei)酒(jiu)精(jing)性脂肪肝(gan)的(de)(de)(de)小(xiao)鼠(shu)(shu)模型,并在(zai)建模成(cheng)功后將Pacer的(de)(de)(de)多(duo)種乙(yi)酰化(hua)突變體病毒(du)注射至小(xiao)鼠(shu)(shu)體內(nei),觀察肝(gan)臟的(de)(de)(de)脂質水平(ping)以及(ji)(ji)自噬發展的(de)(de)(de)水平(ping)。
部(bu)分研究成果
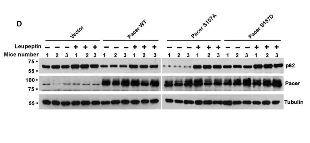
1. Pacer磷酸化對小鼠肝臟(zang)自(zi)噬(shi)水平的影響
研(yan)究(jiu)人員采用腺(xian)相關病毒腹腔注射(she)的(de)(de)方法,將 AAV-Pacer WT以及Pacer的(de)(de)多種變(bian)異體(PacerS157A和(he)Pacer S157D)注射至小鼠體內,并在注射后21天處死小鼠,分析肝臟(zang)細胞,檢測自噬水(shui)平(ping)的(de)(de)變(bian)化。結果如圖1所示:Western blot分析可見,肝臟(zang)組織經腺(xian)相關(guan)病毒感染后,Pacer WT, Pacer S157A和(he)Pacer S157D的(de)(de)表(biao)達水(shui)平(ping)顯(xian)著(zhu)增加(jia)。
圖1. 腺相關(guan)病毒介導的(de)Pacer磷(lin)酸(suan)化變(bian)體在肝(gan)臟組織中的(de)表(biao)達水平及其對自噬基因(yin)表(biao)達的(de)影響(xiang)
2. Pacer磷酸化對自噬溶酶體形(xing)成的影響
結果如(ru)圖2所示,采(cai)用腺(xian)相關病毒介導的(de)Pacer磷酸化變(bian)體(ti)補(bu)救Pacer敲(qiao)降的(de)U2OS細胞,可見過表達Pacer S157A的(de)去磷酸化變(bian)體(ti)可顯著促進自噬溶酶體(ti)的(de)形成,而(er)Pacer S157D的(de)永久磷酸化變(bian)體(ti)則無法促進自噬溶酶體(ti)的(de)形成。
圖2. 免(mian)疫熒光分析腺(xian)相關病毒介(jie)導的(de)Pacer磷(lin)酸化變(bian)體對(dui)自噬溶(rong)酶體形成的(de)影響
3. Pacer乙(yi)酰(xian)化對肝臟組織自(zi)噬水(shui)平的影響
非(fei)酒精性脂肪肝(gan)建模成功后,采(cai)用維(wei)真腺相(xiang)關(guan)病毒(du)在肝(gan)臟組(zu)(zu)織(zhi)過表達Pacer WT和Pacer 2KR變(bian)體(ti),結果如圖(tu)3所示:可見腺相(xiang)關(guan)病毒(du)介(jie)導Pacer及其變(bian)體(ti)可在肝(gan)臟組(zu)(zu)織(zhi)中(zhong)表達。
圖3. Western blot分析腺相關病毒介(jie)導的Pacer乙酰化變體在肝臟組(zu)織中的表(biao)達情況
4. Pacer乙(yi)酰化對肝臟脂質代謝(xie)的(de)影(ying)響(xiang)
結果如圖4所示,采用(yong)(yong)高脂(zhi)(zhi)飼料喂養(yang)建模后(hou)采用(yong)(yong)油紅(hong)染色和電(dian)鏡(jing)分析,顯示肝臟組(zu)織(zhi)和細胞中(zhong)脂(zhi)(zhi)質(zhi)水(shui)平顯著增加。而采用(yong)(yong)腺相關(guan)(guan)病毒(du)介導Pacer WT可顯著降低肝臟組(zu)織(zhi)中(zhong)脂(zhi)(zhi)質(zhi)水(shui)平,腺相關(guan)(guan)病毒(du)介導Pacer 2KR(乙酰化(hua)變體)則無法有效(xiao)降低肝臟中(zhong)脂(zhi)(zhi)質(zhi)水(shui)平。
圖4. 油紅染色(se)電(dian)子顯微(wei)鏡分(fen)析肝臟組織中(zhong)脂質水平的變化
1
文章小結:該(gai)工作闡明(ming)了(le)脊椎生(sheng)物(wu)特有的自噬(shi)(shi)調控基因Pacer如何感知上游營養信(xin)號(hao)(hao),進(jin)而(er)調控自噬(shi)(shi)體(ti)成熟和(he)肝臟脂(zhi)代(dai)(dai)謝的分子機制。這項(xiang)工作不僅確定了(le)Pacer蛋白是(shi)肝臟自噬(shi)(shi)和(he)肝臟穩(wen)態的調控者(zhe),而(er)且還揭(jie)示了(le)肝臟自噬(shi)(shi)的后期和(he)脂(zhi)質代(dai)(dai)謝中的信(xin)號(hao)(hao)整合機制。《Molecular Cell》(IF:14.248)
病毒產品及使(shi)用方法
產品名(ming)稱 |
血清型 |
購自 |
AAV-mCherry-GFP-LC3 |
AAV9 |
維真生物 |
AAV-Vector |
AAV9 |
維(wei)真生物 |
AAV-PacerWT-HA |
AAV9 |
維真(zhen)生物 |
AAV-PacerS157A |
AAV9 |
維真生物 |
AAV-PacerS157D-HA |
AAV9 |
維真生物(wu) |
AAV-Pacer2KR-HA |
AAV9 |
維真生物 |
病毒用量:1×10E11 cfu/只; 注(zhu)射方法:腹腔注(zhu)射; |