AAV在腸道中的靶向策略
腸道是人體(ti)(ti)重要的消化器(qi)官(guan)和(he)排毒器(qi)官(guan),同時(shi)也是重要的免疫(yi)器(qi)官(guan),有(you)將近70%以(yi)上的免疫(yi)細胞(bao)分布(bu)在(zai)腸黏膜上,擔負著人體(ti)(ti)70%以(yi)上的免疫(yi)功能(neng)。腸道相(xiang)關疾病(bing)發病(bing)機制的破(po)解和(he)治(zhi)療所面臨的挑戰,使得研(yan)究腸道基因(yin)靶向(xiang)技術研(yan)究迫在(zai)眉睫。雖然目前已有(you)大量利(li)用病(bing)毒載體(ti)(ti)進行基因(yin)轉(zhuan)移的臨床(chuang)前數(shu)據,但在(zai)腸道中的研(yan)究仍然較少。
對于腸(chang)道的(de)早期研究主(zhu)要(yao)集(ji)中(zhong)在(zai)粘膜(mo)轉導上,但由于腸(chang)道管腔(qiang)條件惡(e)劣及(ji)腸(chang)細(xi)胞代謝周(zhou)轉率較高導致(zhi)其成功率較低。重組(zu)腺(xian)相關病毒(du)(rAAV)因其血清(qing)型種類(lei)多、表達時間長以(yi)及(ji)低免疫性的(de)特(te)點使(shi)腸(chang)道基因轉移的(de)效率得到提(ti)高,但是(shi)如何(he)提(ti)高AAV在(zai)腸(chang)道中(zhong)轉導效率和特(te)異性細(xi)胞靶向仍是(shi)腸(chang)道基因治療需要(yao)克服的(de)障礙。
一、AAV血清型和啟動子的選擇
AAV2、AAV7、AAV8、AAV9和AAVrh10對腸(chang)(chang)道組織的轉導效(xiao)率較高,其中(zhong)AAV7對小(xiao)腸(chang)(chang)的感染效(xiao)率相(xiang)對較高,AAVrh10已被(bei)證(zheng)明(ming)能夠(gou)在腸(chang)(chang)道中(zhong)長效(xiao)表達外源基因,尤其是在結腸(chang)(chang)中(zhong),目前研究(jiu)中(zhong)應用較多的血清(qing)型(xing)是AAV9。腸(chang)(chang)道研究(jiu)中(zhong),啟動子通(tong)常選擇廣譜型(xing)啟動子CMV。
圖1 SMA注射AAV后小腸(SI)結腸(Colon)中AAV血清型趨(qu)向性和轉(zhuan)導效率比較
圖2 AAV8、AAV9、AAV10注(zhu)射后GFP熒(ying)光圖
(A、B:小腸,C、D: 結腸)
(Steven P , Annette M , Stacy P , et al. Am J Physiol Gastrointest Liver Physiol, 2012.)
下表為AAV靶(ba)向腸道不同部位較(jiao)優(you)血清型和(he)啟動子的總(zong)結(jie):
(Buckinx R , Timmermans J P . Histochemistry & Cell Biology, 2016.)
二、注射方式和注射量
腸組織常見的(de)注(zhu)射(she)方(fang)式有尾(wei)靜脈注(zhu)射(she)、腹腔(qiang)(qiang)注(zhu)射(she)、口服(fu)、灌腸和腸系(xi)膜(mo)上(shang)動脈(SMA)注(zhu)射(she)等。其中尾(wei)靜脈注(zhu)射(she)和腹腔(qiang)(qiang)注(zhu)射(she)作(zuo)為系(xi)統性(xing)給(gei)藥(yao)方(fang)式,雖然操作(zuo)簡單(dan),損(sun)傷性(xing)小,但是(shi)(shi)注(zhu)射(she)量較(jiao)大,特異性(xing)不強。口服(fu)和灌腸,都屬于腔(qiang)(qiang)內給(gei)藥(yao),主要是(shi)(shi)黏膜(mo)的(de)轉導,由于胃酸(suan)及腸蛋白(bai)水(shui)解酶(mei)等的(de)中和作(zuo)用(yong),因此這兩(liang)種(zhong)方(fang)式的(de)轉導效(xiao)率(lv)并不高。在(zai)這幾種(zhong)注(zhu)射(she)方(fang)式中,SMA注(zhu)射(she)效(xiao)果較(jiao)好,但對(dui)實驗條(tiao)件和操作(zuo)手法要求較(jiao)高,對(dui)小鼠傷害性(xing)也較(jiao)大。口服(fu)和系(xi)統性(xing)注(zhu)射(she)的(de)方(fang)式此處不進行(xing)贅述,下面分享灌腸和SMA注(zhu)射(she)的(de)操作(zuo)步驟供(gong)參考:
灌腸
(1)小鼠禁食過夜(ye),并預(yu)先用N-乙酰-L-半胱氨酸(NAC)和毛果(guo)蕓香堿處理(li)以促進腸道隱窩黏液排出。
(2)使用異氟醚將小鼠麻(ma)醉。
(3)在不(bu)使用鎮靜(jing)劑的狀態(tai)下,用1英寸不(bu)銹鋼的直圓(yuan)針頭直腸(chang)注射(she)300μL 20mM的NAC清洗結腸(chang)30min。
(4)再次麻醉小鼠,通過灌腸給予小鼠5*10E10vg,600μL體(ti)積量的AAV。
注:可通過(guo)直腸注射亞甲基藍觀察液(ye)體(ti)到達(da)盲腸的預(yu)實驗,確定合適的灌腸液(ye)體(ti)積。
腸系膜動脈(SMA)注射
(1)將(jiang)小鼠(shu)以(yi)右側臥位固定在(zai)手術板上(shang),保持(chi)四肢松(song)弛,放入(ru)含2-4.5% O2的異氟醚誘(you)導室進行麻醉。小鼠(shu)深(shen)度(du)麻醉后(hou),將(jiang)其(qi)放在(zai)手術臺上(shang),對(dui)小鼠(shu)手術區域(yu)做去(qu)毛及消毒處理。
注(zhu):為保持(chi)小(xiao)鼠體溫,可在(zai)手(shou)術(shu)板下(xia)放置加熱墊。整個手(shou)術(shu)過(guo)程在(zai)手(shou)術(shu)顯微鏡下(xia)放大5-40倍進行操(cao)作。
(2)手(shou)術(shu)開始前,皮(pi)下(xia)注射丁(ding)丙諾啡進(jin)行手(shou)術(shu)鎮痛;沿左腋線最后一個肋間隙(xi)和肋下(xia)區(qu)域注射布比卡因進(jin)行局部(bu)鎮痛。
(3)沿著腋線和側腹(fu),在脾臟區域的(de)左側皮膚上(shang)開一個(ge)1-2 cm的(de)切口,切開腹(fu)外(wai)斜肌,使(shi)用(yong)微型牽引(yin)器將皮膚和腹(fu)壁固定,并(bing)用(yong)溫鹽水紗布覆蓋小腸(chang)防(fang)止縮回,暴露SMA。
(4)在(zai)放大20倍的(de)情(qing)況下,將SMA輕(qing)(qing)輕(qing)(qing)地從腹膜后剝離(li),在(zai)SMA的(de)近端接頭(tou)周圍放置(zhi)一個小的(de)穩(wen)定接頭(tou)連接注射針,使用微血管夾(jia)暫時(shi)切(qie)斷腹主動脈的(de)血液供應。
(5)將定(ding)制33號1/2”針頭(tou)連(lian)接(jie)到(dao)250μL漢密爾頓TLL氣密性進樣針注射器(qi)上,輕輕插入SMA進行病(bing)毒注射(1*10E11vg, 200μL體積的AAV8)。將固定(ding)帶輕扎血管,防止(zhi)注射部位(wei)泄漏。
注:注射過程(cheng)中(zhong)使(shi)用顯(xian)微鏡觀察以確保(bao)注射可(ke)視準確。
(6)注(zhu)(zhu)射后立即(ji)取(qu)下針頭,縫合注(zhu)(zhu)射部(bu)位(wei)。取(qu)下固定帶和微血(xue)管(guan)夾,使血(xue)液回流至小腸。使用無菌棉(mian)簽輕(qing)(qing)輕(qing)(qing)按壓注(zhu)(zhu)射部(bu)位(wei)進行止(zhi)血(xue)。
(7)在腹腔(qiang)內注射1mL無菌(jun)溫鹽水后,對小(xiao)鼠進行(xing)縫合(he)。
(8)術后每(mei)15min對(dui)小鼠進行一次監(jian)測,直到(dao)小鼠能(neng)夠(gou)腹臥。每(mei)2小時對(dui)動物進行一次監(jian)測,直至放回籠中。
圖3 小(xiao)鼠SMA注(zhu)射過程中(zhong)顯微手術步驟(zou)的代表(biao)性照片
(Porvasnik S L , Mah C , Polyak S . Microsurgery, 2010.)
近幾年(nian),隨著AAV在腸(chang)道(dao)基因(yin)轉移中的成(cheng)功應用(yong),研究(jiu)人員對腸(chang)道(dao)相關疾病的發(fa)病機(ji)制和(he)治療靶點的探究(jiu)也有(you)了新的突破(po)。前期,我們(men)已經為大(da)家介紹了AAV在腸(chang)道(dao)中的應用(yong)策略(干貨(huo)篇),今(jin)天小V再帶大(da)家一起(qi)學(xue)習一下維真(zhen)AAV在腸(chang)道(dao)研究(jiu)中的幾個(ge)應用(yong)實例(li)。
客戶案例分享1
《Blocking IL- 17A enhances tumor response to anti- PD-1 immunotherapy in microsatellite stable colorectal cancer》
結直(zhi)腸癌(ai)(Colorectal cancer,CRC)在所(suo)有癌(ai)癥類型中發病率排(pai)名第(di)(di)三(san),死亡(wang)率排(pai)名第(di)(di)二。雖然免疫(yi)檢(jian)查點(dian)抑制劑(Immune checkpoint inhibitors,ICIs)以及抗PD-1治療(liao)為CRC的(de)(de)治療(liao)帶(dai)來了曙(shu)光,但(dan)對(dui)(dui)微衛(wei)星穩定型(microsatellite stable,MSS)結直(zhi)腸癌(ai)患(huan)者(zhe)(zhe)的(de)(de)治療(liao)非(fei)常有限,MSS CRC患(huan)者(zhe)(zhe)對(dui)(dui)ICIs的(de)(de)耐(nai)藥機制尚(shang)不(bu)明確(que)(que)。研究(jiu)表(biao)明,白細胞介素17A(IL- 17A)與CRC患(huan)者(zhe)(zhe)的(de)(de)不(bu)良預后相(xiang)關,并且其活性(xing)可能會導致抗腫瘤(liu)免疫(yi)的(de)(de)耐(nai)藥性(xing),但(dan)阻斷IL- 17A是(shi)否能提高(gao)MSS CRC患(huan)者(zhe)(zhe)對(dui)(dui)ICIs的(de)(de)敏感性(xing)仍(reng)不(bu)確(que)(que)定。
在(zai)本(ben)(ben)研(yan)究中,作者首先對(dui)臨(lin)床(chuang)病(bing)理(li)標本(ben)(ben)進行評估并證實(shi)了PD-L1的(de)(de)mRNA水(shui)平與CD8+細胞浸(jin)潤和患者預后相關。在(zai)CAC(結腸(chang)(chang)炎相關腸(chang)(chang)癌)和APCmin/+CRC模型中,發(fa)現(xian)miR-15b-5p能在(zai)蛋白(bai)水(shui)平下調PD-L1的(de)(de)表(biao)達,抑制腫(zhong)瘤發(fa)生(sheng)(sheng),并增強(qiang)(qiang)腫(zhong)瘤對(dui)抗PD-1的(de)(de)敏(min)感性(xing)。使(shi)用細胞因子IL-17A處理(li)CT26和MC38細胞后發(fa)現(xian)IL-17A通過調節P65/NRF1/miR-15b-5p通路導致(zhi)直(zhi)腸(chang)(chang)癌細胞中PD-L1高表(biao)達。進一步研(yan)究發(fa)現(xian)IL-17A和PD-1的(de)(de)聯合阻斷可(ke)以明顯減(jian)緩(huan)腫(zhong)瘤生(sheng)(sheng)長,延長生(sheng)(sheng)存率。本(ben)(ben)研(yan)究提(ti)出IL- 17A有望成為增強(qiang)(qiang)MSS CRC患者對(dui)ICIs治療敏(min)感性(xing)的(de)(de)靶點。
研究人員利用腺相關(guan)病毒(AAV-miR-15b-5p sponge)載體感染(ran)CAC和APCMin/+小(xiao)鼠結腸組(zu)織(zhi),抑(yi)制(zhi)miR-15b-5p的(de)(de)(de)表(biao)達(da)。作者觀察發現在(zai)CAC和APCMin/+結腸癌小(xiao)鼠模型中(zhong),miR-15b-5p表(biao)達(da)的(de)(de)(de)阻斷明顯(xian)促進(jin)了腫瘤的(de)(de)(de)發生(sheng),提高了PD-L1表(biao)達(da),同時顯(xian)著(zhu)減(jian)少了CD8+細胞數量,說(shuo)明miR-15b-5p通過(guo)靶向PD-L1抑(yi)制(zhi)腫瘤的(de)(de)(de)發生(sheng)。
圖1. miR-15b-5p通(tong)過靶(ba)向PD-L1抑制腫(zhong)瘤的發生
客戶案例分享2
《MiR155 Disrupts the Intestinal Barrier by Inducing Intestinal Inflammation and Altering the Intestinal Microecology in Severe Acute Pancreatitis》
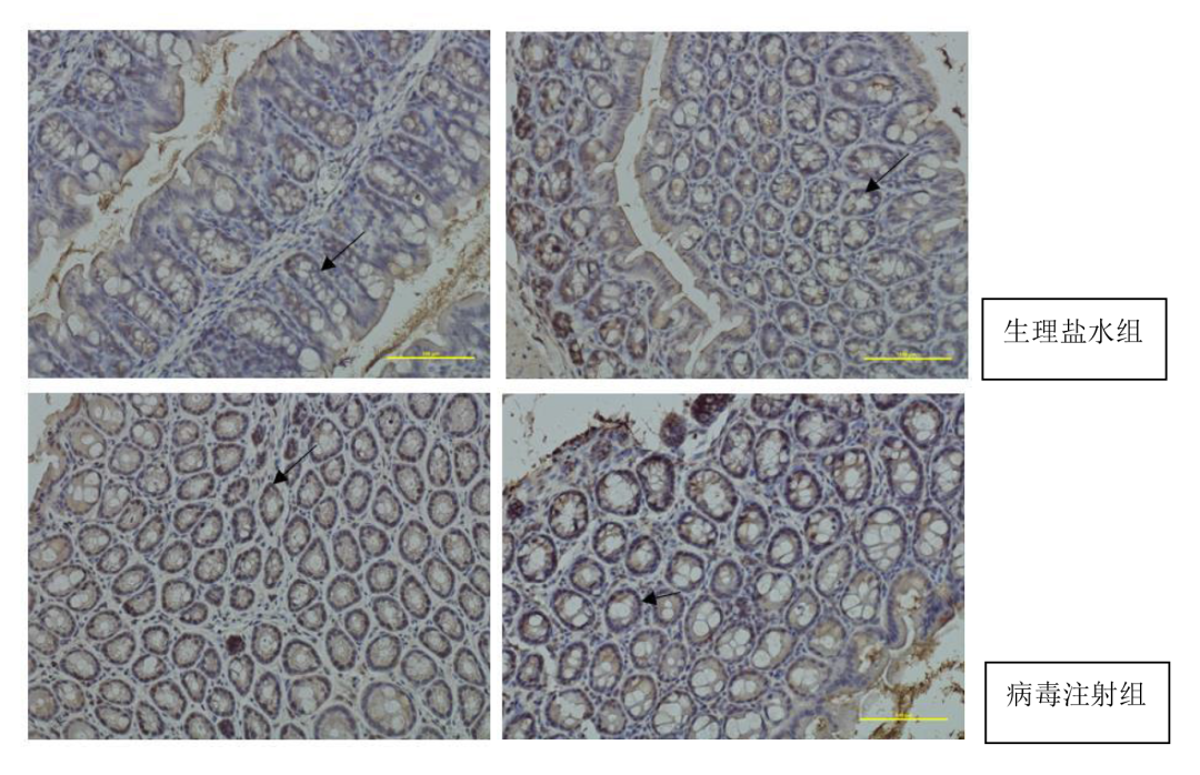
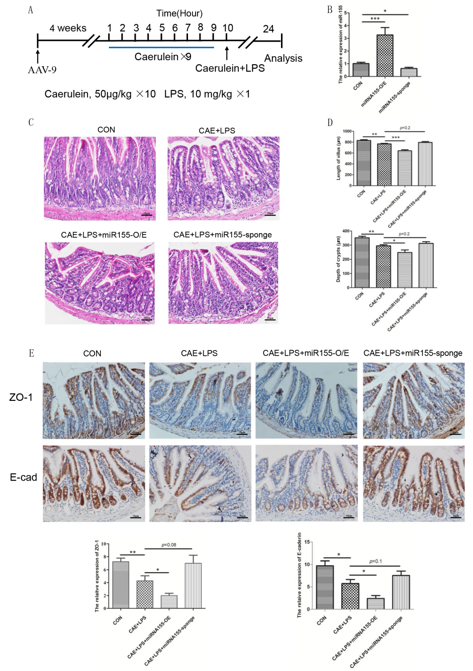
胰腺(xian)(xian)感染(ran)是(shi)導(dao)(dao)致(zhi)重(zhong)癥(zheng)急性胰腺(xian)(xian)炎(yan)(SAP)患者死亡的(de)主要原因(yin)之一,研究認(ren)為腸道(dao)(dao)的(de)微生態紊亂(luan)和炎(yan)癥(zheng)導(dao)(dao)致(zhi)腸道(dao)(dao)屏(ping)(ping)障破壞(huai),致(zhi)使腸道(dao)(dao)菌(jun)群(qun)移(yi)位(wei)進而感染(ran)胰腺(xian)(xian)。研究表(biao)明(ming),miRNA通(tong)過塑造腸道(dao)(dao)菌(jun)群(qun)參(can)與宿(su)主免疫功能和炎(yan)癥(zheng)的(de)調控。miR155主要表(biao)達(da)于(yu)胸腺(xian)(xian)和脾臟,被認(ren)為可能通(tong)過TLR通(tong)路參(can)與腸道(dao)(dao)菌(jun)群(qun)介(jie)導(dao)(dao)的(de)腸道(dao)(dao)免疫應答和腸道(dao)(dao)屏(ping)(ping)障破壞(huai),具體(ti)作用(yong)機制尚需明(ming)確。
本(ben)研(yan)究(jiu)探討(tao)了miR155對小(xiao)鼠(shu)SAP相(xiang)關(guan)(guan)(guan)腸道(dao)(dao)(dao)(dao)功能障(zhang)礙的(de)(de)影響及其可能機(ji)制。通過建立SAP小(xiao)鼠(shu)模型,研(yan)究(jiu)人員發現miR155的(de)(de)過度表達導致SAP小(xiao)鼠(shu)腸道(dao)(dao)(dao)(dao)組(zu)織損傷(shang)(shang)加重。采(cai)集盲腸組(zu)織進行16S rRNA基因測(ce)序,顯(xian)示miR155促進了腸道(dao)(dao)(dao)(dao)菌群(qun)的(de)(de)失調。進一(yi)步檢測(ce)發現miR155激活TLR4/MYD88通路(lu),從而影響炎癥(zheng)(zheng)介質的(de)(de)釋(shi)放,調節SAP相(xiang)關(guan)(guan)(guan)腸道(dao)(dao)(dao)(dao)損傷(shang)(shang)。對SAP小(xiao)鼠(shu)進行miR155干擾(AAV9--miR155 sponge)后,腸道(dao)(dao)(dao)(dao)菌群(qun)失衡和(he)腸道(dao)(dao)(dao)(dao)屏障(zhang)相(xiang)關(guan)(guan)(guan)蛋白的(de)(de)破(po)壞(huai)得(de)到了有效緩解,炎癥(zheng)(zheng)介質釋(shi)放減少(shao),腸道(dao)(dao)(dao)(dao)組(zu)織病理損傷(shang)(shang)明顯(xian)改善。本(ben)研(yan)究(jiu)結(jie)果表明,miR155可通過TLR4/MYD88通路(lu)加重腸道(dao)(dao)(dao)(dao)炎癥(zheng)(zheng),破(po)壞(huai)腸道(dao)(dao)(dao)(dao)屏障(zhang),顯(xian)著改變SAP小(xiao)鼠(shu)的(de)(de)腸道(dao)(dao)(dao)(dao)微生態。

為檢測miR155在SAP小(xiao)鼠腸(chang)道功能破(po)壞(huai)中(zhong)的(de)(de)作(zuo)用,研究人員先利用AAV9載體(ti)對miR155進行了(le)過(guo)表(biao)達(da)及干擾處(chu)理,而后建立了(le)SAP小(xiao)鼠模型。檢測結果發現注(zhu)射AAV9-miR155的(de)(de)小(xiao)鼠小(xiao)腸(chang)中(zhong)miR155的(de)(de)表(biao)達(da)量(liang)(liang)顯著升高,注(zhu)射AAV9-miR155 sponge后miR155表(biao)達(da)量(liang)(liang)明(ming)顯下降(jiang)。miR155過(guo)度表(biao)達(da)的(de)(de)SAP小(xiao)鼠小(xiao)腸(chang)組織損傷(shang)顯著增加,免(mian)疫組化檢測發現miR155的(de)(de)過(guo)表(biao)達(da)明(ming)顯加劇(ju)了(le)腸(chang)道屏障(zhang)標志物(wu)ZO-1和E-cad的(de)(de)蛋白表(biao)達(da)水(shui)平的(de)(de)下調(diao)。這些結果表(biao)明(ming),miR155可(ke)能加劇(ju)了(le)腸(chang)道屏障(zhang)的(de)(de)破(po)壞(huai),下調(diao)miR155的(de)(de)表(biao)達(da)可(ke)能對腸(chang)道屏障(zhang)起(qi)到保護作(zuo)用。
圖2. miR155可加(jia)重SAP小鼠腸道屏(ping)障的(de)破壞
客(ke)戶案例分享(xiang)3
《Arctigenin disrupts NLRP3 inflammasome assembly in colonic macrophages via downregulating fatty acid oxidation to prevent colitis-associated cancer》
牛(niu)(niu)蒡(bang)子苷(gan)元(yuan)(yuan)是牛(niu)(niu)蒡(bang)子的(de)(de)(de)主要藥(yao)理(li)活(huo)(huo)性(xing)成分,據報道有抑(yi)(yi)制(zhi)腫瘤生(sheng)(sheng)長、緩(huan)解(jie)結腸炎(yan)(yan)的(de)(de)(de)作(zuo)(zuo)用(yong)。目(mu)前牛(niu)(niu)蒡(bang)子苷(gan)元(yuan)(yuan)對(dui)結腸炎(yan)(yan)相(xiang)關(guan)癌癥(colitis-associated cancer ,CAC)的(de)(de)(de)保(bao)護作(zuo)(zuo)用(yong)及其機(ji)制(zhi)尚不明(ming)確。本(ben)研究利(li)用(yong)偶氮甲烷(wan)(AOM)/葡(pu)聚糖硫酸鈉(DSS)誘導CAC小(xiao)(xiao)鼠(shu)(shu)模型,發(fa)(fa)(fa)現(xian)(xian)口服牛(niu)(niu)蒡(bang)子苷(gan)元(yuan)(yuan)可(ke)以(yi)減緩(huan)CAC小(xiao)(xiao)鼠(shu)(shu)結腸炎(yan)(yan)的(de)(de)(de)進展并(bing)預(yu)防結腸癌的(de)(de)(de)發(fa)(fa)(fa)生(sheng)(sheng)。非靶(ba)向代謝組(zu)學技術(shu)測(ce)定發(fa)(fa)(fa)現(xian)(xian),牛(niu)(niu)蒡(bang)子苷(gan)元(yuan)(yuan)下調巨噬細(xi)胞中(zhong)NLRP3炎(yan)(yan)癥小(xiao)(xiao)體的(de)(de)(de)激活(huo)(huo)和脂肪酸氧化(FAO)代謝。進一步研究發(fa)(fa)(fa)現(xian)(xian)牛(niu)(niu)蒡(bang)子苷(gan)元(yuan)(yuan)可(ke)以(yi)抑(yi)(yi)制(zhi)肉堿棕櫚(lv)酰(xian)轉(zhuan)移酶1(CPT1)的(de)(de)(de)表(biao)(biao)達(da),減少α-微管蛋白的(de)(de)(de)乙酰(xian)化,破壞NLRP3復(fu)合物(wu)的(de)(de)(de)形成,從而使NLRP3炎(yan)(yan)癥小(xiao)(xiao)體失活(huo)(huo)。牛(niu)(niu)蒡(bang)子苷(gan)元(yuan)(yuan)可(ke)以(yi)通過抑(yi)(yi)制(zhi)小(xiao)(xiao)鼠(shu)(shu)NLRP3炎(yan)(yan)性(xing)小(xiao)(xiao)體激活(huo)(huo)并(bing)改善CAC,并(bing)且AAV9-CPT1的(de)(de)(de)過度表(biao)(biao)達(da)顯著降(jiang)低了這種作(zuo)(zuo)用(yong)。本(ben)研究闡明(ming)了牛(niu)(niu)蒡(bang)子苷(gan)元(yuan)(yuan)主要通過下調結腸巨噬細(xi)胞中(zhong)CPT1表(biao)(biao)達(da)和隨后的(de)(de)(de)NLRP3炎(yan)(yan)性(xing)小(xiao)(xiao)體激活(huo)(huo)發(fa)(fa)(fa)揮對(dui)CAC的(de)(de)(de)保(bao)護作(zuo)(zuo)用(yong),進而揭示了CPT1在(zai)炎(yan)(yan)性(xing)小(xiao)(xiao)體激活(huo)(huo)和結腸癌發(fa)(fa)(fa)生(sheng)(sheng)發(fa)(fa)(fa)展中(zhong)的(de)(de)(de)關(guan)鍵(jian)作(zuo)(zuo)用(yong),同時也強調了牛(niu)(niu)蒡(bang)子苷(gan)元(yuan)(yuan)在(zai)降(jiang)低結腸炎(yan)(yan)患者CAC風險方面的(de)(de)(de)潛(qian)在(zai)價值(zhi)。


為了確定牛蒡子苷(gan)元(yuan)的(de)抗CAC作(zuo)用(yong)(yong)是否與CPT1介(jie)導的(de)FAQ下(xia)調有(you)關,研究人員使(shi)用(yong)(yong)AAV9作(zuo)為載體(ti),在CAC小(xiao)鼠(shu)結(jie)(jie)(jie)腸(chang)組(zu)織中(zhong)特異性過表(biao)達(da)(da)CPT1。結(jie)(jie)(jie)果發現CPT1過表(biao)達(da)(da)的(de)小(xiao)鼠(shu)在存活率、體(ti)重、結(jie)(jie)(jie)腸(chang)長度等方(fang)面都有(you)顯(xian)著降低(di),且結(jie)(jie)(jie)腸(chang)組(zu)織腫瘤數量、負(fu)載量和大小(xiao)均顯(xian)著增加。組(zu)織病理學檢查(cha)顯(xian)示CAC小(xiao)鼠(shu)和CAC伴CPT1高表(biao)達(da)(da)組(zu)小(xiao)鼠(shu)結(jie)(jie)(jie)腸(chang)粘膜內有(you)大型(xing)腺癌(ai)。此外,上述兩組(zu)的(de)小(xiao)鼠(shu)表(biao)現出炎(yan)癥反應和隱窩減少(shao)癥狀(zhuang),且CD68+ NLRP3+巨(ju)(ju)噬(shi)細(xi)胞數量顯(xian)著增加。CPT1過表(biao)達(da)(da)顯(xian)著增加了IL-1β的(de)表(biao)達(da)(da),同時(shi)也促進了結(jie)(jie)(jie)腸(chang)組(zu)織中(zhong)α-微管蛋白(bai)乙酰化和乙酰輔(fu)酶(mei)A的(de)產生。牛蒡子苷(gan)元(yuan)對結(jie)(jie)(jie)腸(chang)巨(ju)(ju)噬(shi)細(xi)胞和CAC中(zhong)NLRP3炎(yan)癥體(ti)激活的(de)抑制作(zuo)用(yong)(yong)隨著結(jie)(jie)(jie)腸(chang)組(zu)織中(zhong)CPT1的(de)過表(biao)達(da)(da)而逐漸消(xiao)失,以上結(jie)(jie)(jie)果闡(chan)明了牛蒡子苷(gan)元(yuan)主要通過下(xia)調結(jie)(jie)(jie)腸(chang)巨(ju)(ju)噬(shi)細(xi)胞中(zhong)CPT1的(de)表(biao)達(da)(da)和NLRP3炎(yan)性小(xiao)體(ti)的(de)激活來(lai)抑制CAC,同時(shi)也揭示了CPT1在炎(yan)癥小(xiao)體(ti)激活和結(jie)(jie)(jie)腸(chang)癌(ai)發生進展中(zhong)的(de)作(zuo)用(yong)(yong)。

圖(tu)3. CPT1過表達對牛(niu)蒡子苷元抑制小(xiao)鼠(shu)結腸CAC和炎(yan)癥小(xiao)體(ti)激活的影響
客戶(hu)案例(li)分享(xiang)4
使(shi)用效(xiao)果反饋


圖4. AAV9注射小鼠結(jie)腸組(zu)織(zhi)后免疫組(zu)化(hua)結(jie)果